当院でのむし歯治療
浅いむし歯の場合
むし歯は進行の度合いによって、治療の方法が異なります。
下記のような、まだ浅いむし歯は削って詰め物をします。
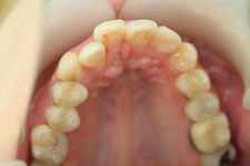
治療前

治療後

深いむし歯の場合
下記のような比較的深く、神経にまで到達してしまった場合には、根管治療を行います。
リーマーという器具で根管内の神経を取り除いた後に薬を詰め、ふたをします。
治療前

治療後

銀歯の付け替え
上記の例も同様ですが、保険適用の範囲内で銀歯ではなく、白い詰め物(コンポジットレジン)にて治療をすることが可能です。
下の例は、銀歯が目立つため、白い詰め物への付け替えを希望された患者様です。
治療前

治療後















