歯周病の症状
歯ぐきの腫れ・出血
歯ぐきの縁が赤く腫れ、歯磨きの時に出血する場合には、歯肉炎や歯周炎の可能性があります。
症状が歯ぐきに限定されている場合は、歯磨き指導により改善される場合がほとんどです。
ただし、歯がぐらぐらするまで症状が進んでいる場合には、外科的な処置が必要になる場合があります。

歯がぐらぐらする
中等度~重度の歯周炎(歯周病)により、歯を支える骨が失われて歯がぐらぐらしている状態です。
歯ぐきが後退していくため、歯が長くなったように見え、口臭がし始めたり、歯ぐきから膿が出たりします。
場合によっては抜歯が必要になることもありますので、早急にご相談下さい。

歯周病の種類
1. 健康な歯ぐき
皆さん定期的に来院していただき、健康な状態を維持されています。
歯医者としてもっとも嬉しいケースです。

2. 歯肉炎
炎症が歯ぐきのみに見られます。歯ぐきの縁が赤く腫れ、歯磨きの際に出血することがあります。
この状態を放置すると、歯周炎へと進み最終的には歯が抜け落ちてしまいます。
3. 軽度歯周炎
歯周ポケットが3mm以内で、歯の揺れる幅が0.7~1.0mm以内の状態を軽度歯周炎と呼びます。
骨が少し溶け始めますが痛みを伴わないので気付きづらい状態です。
歯磨き指導(Teeth Brushing Instruction)を行い、ご自身で丁寧に歯磨きをしていただくこと、
また、クリニックにて歯石の除去も合せて行います。
▼歯磨き指導だけで改善した例です。
治療前

治療後

▼保険治療の範囲で超音波スケーリングを行い、歯肉の腫れが和らぎました。
治療前

治療後

4. 中等度歯周炎
歯周ポケットが3~6mm以内、歯の揺れる幅が1~2mm以内で骨が半分程度溶けてしまった状態です。
歯がぐらぐらし始め、歯ぐきは後退して歯が長くなったように見えてきます。
麻酔をして、SRP(スケーリング、ルートプレーニング)によって、歯の根の表面に付着したプラーク、歯石を取り除きます。
▼歯磨き指導で症状が安定しました。
治療前

治療後

▼SRP(スケーリング・ルートプレーニング)で症状が改善・安定しました。
治療前

治療後

治療前

治療後

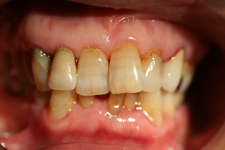
5. 重度歯周炎
歯周ポケットの深さが6mm以上、歯の揺れる幅が2~3mmの歯周炎を重度歯周炎といいます。
歯を支える骨は3分の2程度失われて、歯はぐらぐらして硬いものを噛むことができなくなります。
外科的な処置を中心に場合によっては抜歯という選択肢も視野に入れて治療をしてまいります。
▼重度の歯周炎により上顎の歯が全て外向きにひらき歯間が開いた状態で来院されました。

治療
下顎臼歯部(下奥歯)を抜歯した状態のままになっておりましたので、前歯が強くあたり、歯周病も重なり前歯が開いてしまっていました。
下奥歯欠損部はインプラントによる治療、また開いてしまった上顎は矯正により元の位置に戻しました。
下に入れたインプラントにより全ての歯が均一に噛み合うようになり、歯周病の治療もスムーズに行えました。
▼重度歯周炎により下顎前歯が動揺して来院されました。
治療前

治療後

治療
下顎前歯4本は動揺が著しく、又歯並びが悪くメインテナンスが上手くできない状態でしたので抜歯させて頂きました。
抜歯後、歯肉の退縮を最小限におさえる為、ソケットプリザベーションにより人工の骨を填入、平らでメインテナンスのしやすい状態にし、
その後ブリッジの作製を行いました。
期間
4ヶ月 費用:約60万円
▼歯の動揺と隙間が広くなってきた事を気にされて来院されました。
治療前

治療後

治療
左下奥歯(臼歯)は欠損したままになっておりましたのでインプラントによる欠損部の治療を行いました。
欠損部にインプラントを入れるだけの十分な骨量がありませんでしたが、残存歯の負担をなるべく少なくするため、インプラント治療をおこなっています。
その他歯周病治療を行っておりますが、上顎正中は歯槽骨の欠損が大きかった為、E・M・D(エムドゲイン)により再生治療も行っています。














